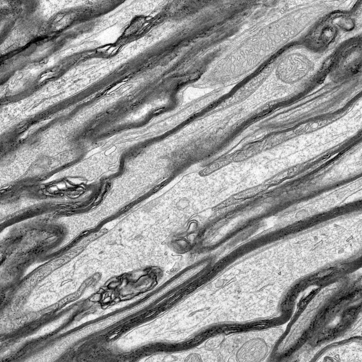
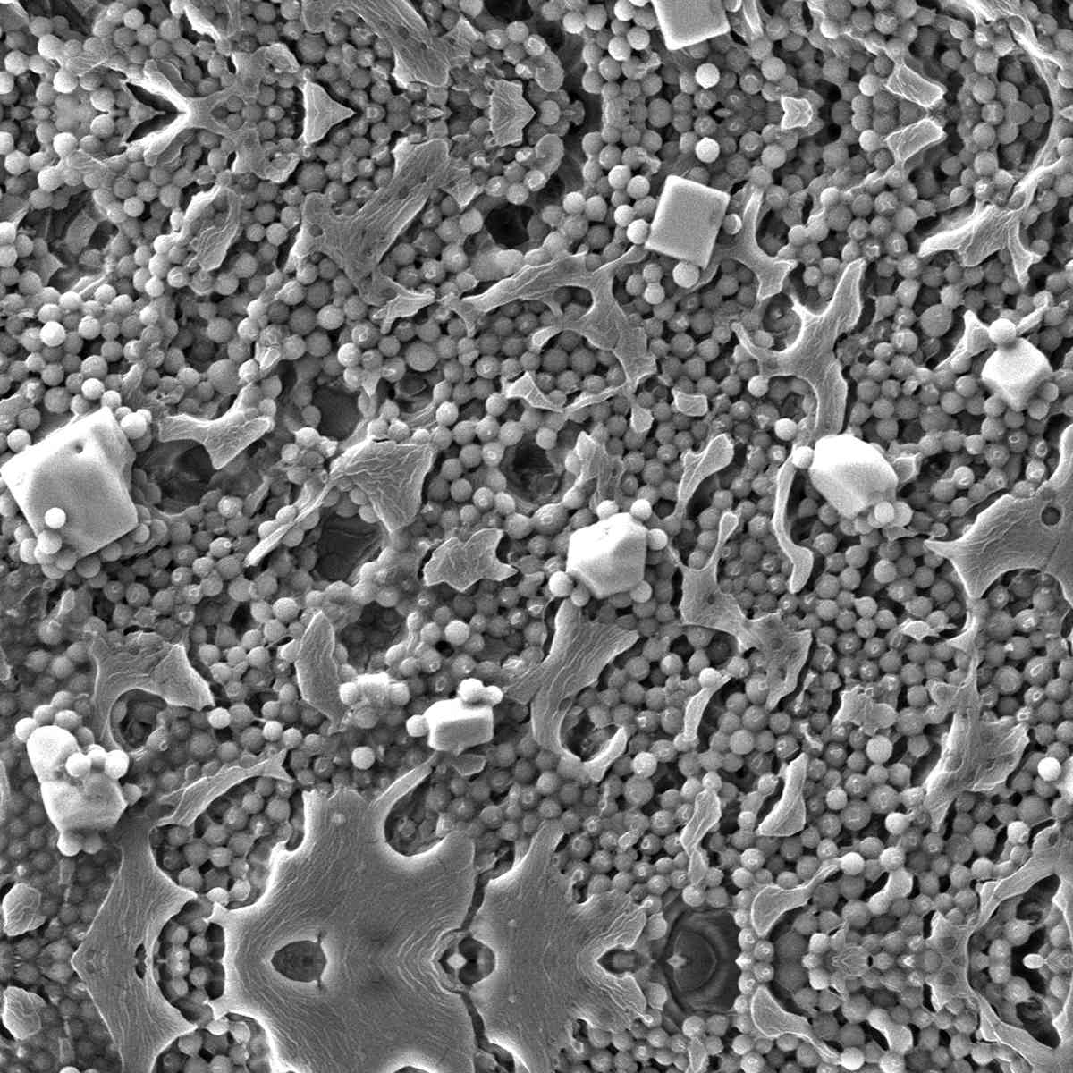
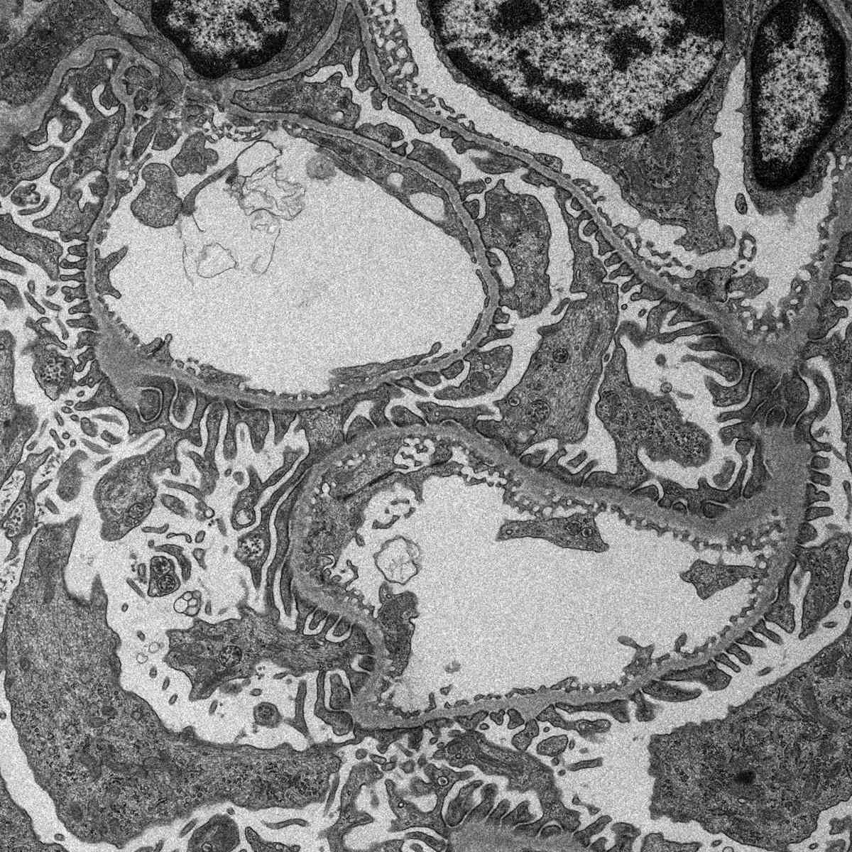
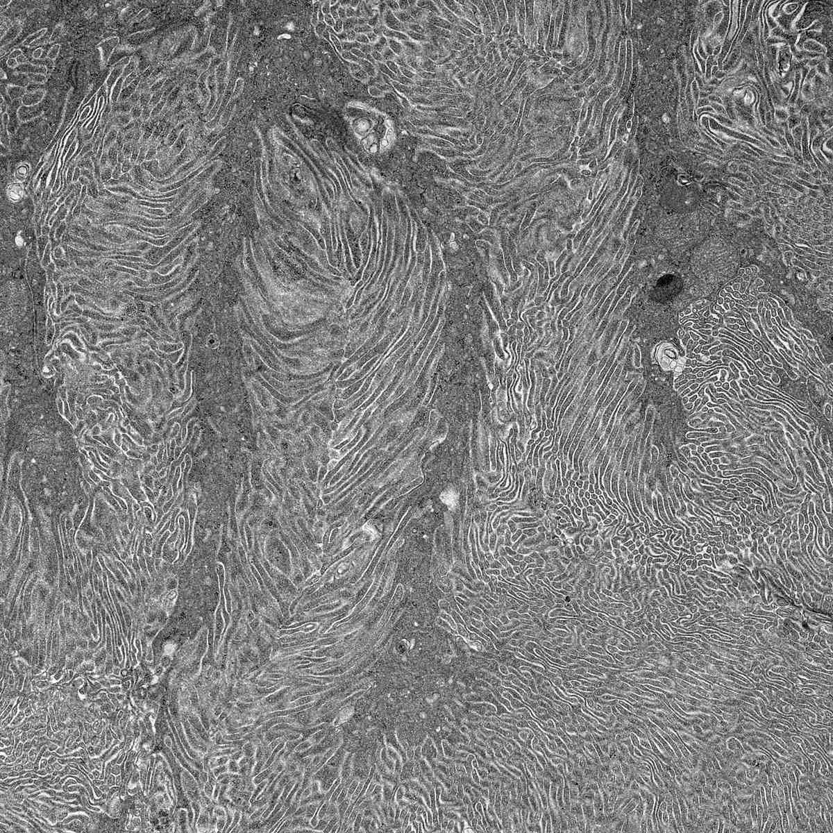
IMCES Kalender "Life Beyond Vision"
Abstimmung über die Kalendermotive für 2021
Bislang erfolgte die Motivauswahl durch ein kleines Gremium, bestehend aus Mitarbeiterinnen und Mitarbeitern des IMCES und des Referats für Strategie, Kommunikation und Marketing im Dekanat der Medizinischen Fakultät der UDE. Da der Kalender aber dazu gedacht ist, die gesamte Universität zu repräsentieren finden wir, dass dementsprechend auch alle Mitarbeiterinnen und Mitarbeiter das Recht haben sollten, über die Motive mitzubestimmen. Aus diesem Grund möchten wir Ihnen und Euch hier die Möglichkeit bieten, über eine breite Auswahl an IMCES-Nutzerbeiträgen für den "Life Beyond Vision Kalender 2021" bis zum 27.09.2020 abzustimmen.
Bei allen Bildern handelt es sich um Eigentum der Nutzerinnen und Nutzer und/oder des IMCES. Dementsprechend untersagen wir ihre eigenmächtige Nutzung ohne vorheriges Einholen einer Einverständniserklärung.
Jetzt abstimmen
- Der Kalender wird insgesamt 13 Motivelemente enthalten: 1 Titelbild und 12 Monatsbilder. Dementsprechend möchten wir alle Teilnehmerinnen und Teilnehmer bitten, bis zu 13 Motive in dem unteren Auswahlformular anzugeben. Hierzu bitte nur die blanken Motivnummern ohne weiteren Text in die entsprechenden Felder eintragen.
- Die Reihenfolge der Motivnennung ist grundsätzlich egal. Lediglich das erste Motiv soll dem Wunsch des Titelmotivs entsprechen. Diese Wahl geht mit doppelter Wertung, also mit 2 Stimmen, in die Auswertung ein.
- Unter allen Abstimmungen werden am Ende die Motive mit den 13 meisten Nennungen ermittelt. Das Motiv mit dem höchsten Abstimmungsergebnis wird als Titelbild ausgewählt.
- Stimmberechtigt sind alle Mitarbeiterinnen und Mitarbeiter mit einer E-Mailadresse der Universität Duisburg-Essen oder des Universitätsklinikums Essen. Abstimmungen mit E-Mailadressen anderen Formats und doppelte Abstimmungen von einer E-Mailadresse werden aussortiert.
- Das finale Abstimmungsergebnis wird auf der IMCES Homepage veröffentlicht.
- Unter allen Teilnehmerinnen und Teilnehmern werden fünf "Life Beyond Vision 2021" Kalender verlost. Das Ergebnis dieser Verlosung wird ebenfalls hier bekanntgegeben.
- In 2020 waren die GewinerInnen: M. Sauerland, H. Döpper, C. Helfers, C. Sehl und S. Öztürk - herzlichen Glückwunsch!


































