Bilder und Mediengalerie des IMCES

Lichtmikroskopische Einheit (LMU)

Exemplarisches Bildmaterial

weiteres Bildmaterial in Vorbereitung!

Exemplarisches Videomaterial (in Vorbereitung)

Elektronenmikroskopische Einheit (EMU)

Exemplarisches Bildmaterial

Rasterelektronenmikroskop Testbild von J. Heinen-Weiler Zeiss Crossbeam 540

Zu sehen ist ein nachkoloriertes, rasterelektronenmikroskopisches Bild eines mikrobiellen Umweltorganismus', welcher im Rahmen einer Luftkeimsammlung immobilisiert wurde.

Kooperation mit Prof. D. Theegarten, Institut für Pathologie, UK Essen JEOL 1400 Plus TEM

Zu sehen ist eine transmissionselektronenmikroskopische Aufnahme von pathologisch aufgeblähten Kinozilien in einer humanen Flimmerepithelbiopsie nach Standardeinbettung und -kontrastierung.

Masterarbeit F. Uppenkamp an der EMU als Kooperation mit der Klinik für Orthopädie des UK Essen Zeiss Crossbeam 540

Zu sehen ist die 3D Rekonstruktion eines multinukleären, humanen Osteoklasten. Diese ist das Ergebnis einer Nanotomographie mittels FIB/SEM.

Masterarbeit S. Borkowsky als Kooperation mit Prof. M. Trilling, Institut für Virologie, UK Essen JEOL 1400 Plus TEM

Dieses transmissionselektronenmikroskopische Bild zeigt Kapside des murinen Cytomegalovirus (MCMV) nach Negative Staining. Zu beachten sind die teils DNA gefüllten Partikel, neben zwei leeren Kapsiden.

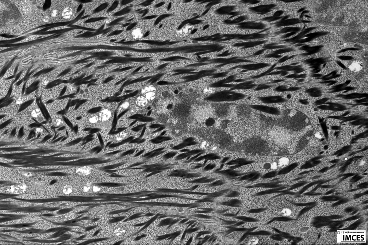
Kooperation mit Prof. K. Willecke, Universität Bonn JEOL 1400 Plus TEM

Dieses transmissionselektronenmikroskopische Bild zeigt Keratinfilamente einer Epithelzelle der Mauspfote nach Standardeinbettung und -kontrastierung.

Masterarbeit S. Borkowsky als Kooperation mit Prof. M. Trilling, Institut für Virologie, UK Essen JEOL 1400 Plus TEM

Dargestellt ist ein transmissionselektronenmikroskopisches Bild von Kapsiden des murinen Cytomegalovirus (MCMV) nach Negative Staining. Zu beachten sind die gut erhaltenen Virushüllen um die Kapside.

Kooperation mit PD K. D. Müller, Institut für Medizinische Mikrobiologie, UK Essen JEOL 1400 Plus TEM

Dieses transmissionselektronenmikroskopische Bild demonstriert Bakterien nach Standardeinbettung und -kontrastierung.

Bachelorarbeit J. Heinen-Weiler in Kooperation mit AG Prof. Gunzer, Institut für experimentelle Immunologie & Bildgebung Uni Duisburg-Essen Zeiss Crossbeam 540

Das nachkolorierte rasterelektronenmikroskopische Bild zeigt von neutrophielen Granulozyten ausgeworfene Netze in denen sich Bakterien verfangen haben.

Testbild Kryo-Rasterelektronenmikroskopie (Aufnahme: J. Heinen-Weiler) Zeiss Crossbeam 540

Das Bild zeigt einen weißen Schimmelpilz, der ohne weitere Behandlung unter Nutzung der Quorum Kryo-Transfersystems mit der Kryo-Rasterelektronenmikroskopie dargestellt wurde.

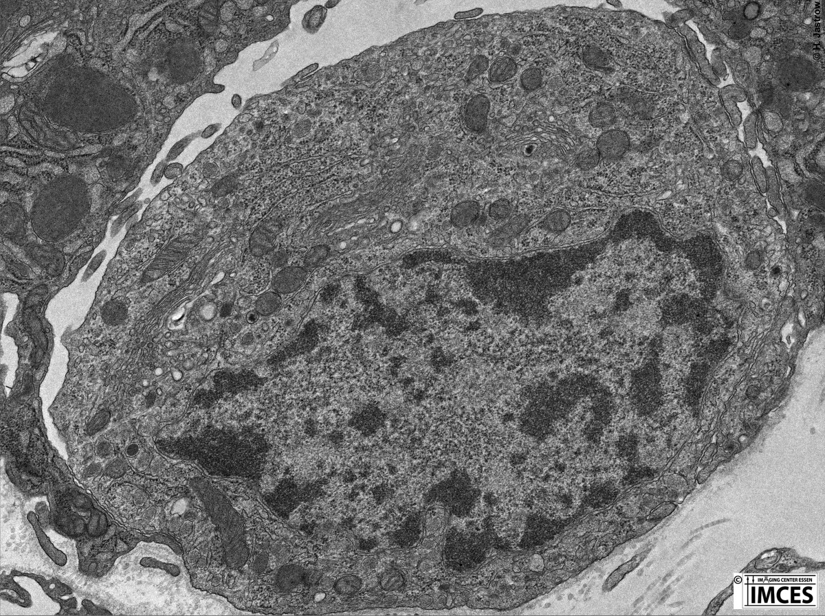
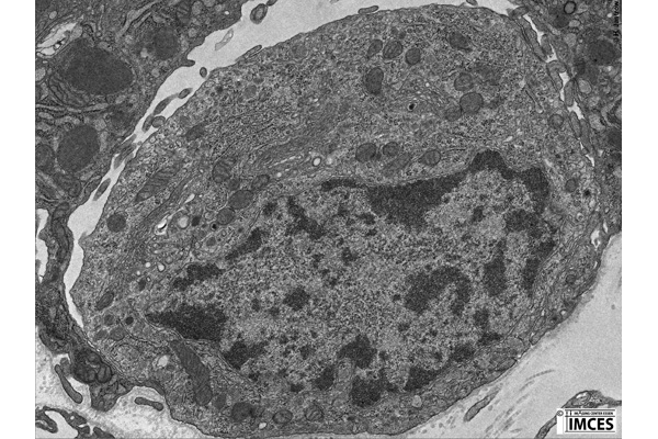
Transmissionselektronenmikroskopisches Demonstrationsbild (Aufnahme: H. Jastrow) JEOL 1400 Plus TEM

Dieses transmissionselektronenmikroskopische Bild zeigt eine Kalzitonin-bildende C-Zelle der Schilddrüse mit ihren Organellen.

Kooperation mit Sabina Marks (geb. Wodniok) CCAC Algensammlung, Fachbereich Biologie, Universität Duisburg-Essen Zeiss Crossbeam 540

Kryo-Rasterelektronenmikroskopie Bild einer "aufgebrochenen" Alge, das Zellkomponenten erkennen läßt.

weiteres Bildmaterial in Vorbereitung!

Exemplarisches Videomaterial

Masterarbeit F: Uppenkamp an der EMU als Kooperation mit der Klinik für Orthopädie des UK Essens Zeiss Crossbeam 540

Diese Animation zeigt einen rekonstruierten Osteoklasten mit farblich hervorgehobenen Zellkernen in verschiedenen Ansichten.

Amination ansehen

Masterarbeit F. Uppenkamp an der EMU als Kooperation mit der Klinik für Orthopädie des UK Essens Zeiss Crossbeam 540

Diese Animation zeigt eine Schnittserie eines mit der Fib SEM Methode geschnittenen Osteoklasten.

Animation ansehen

weitere Demonstrationen von Animationen in Vorbereitung!