Pressemitteilung der Universität Duisburg-Essen

UDE und UK Essen: Publikation zu einer Pilotstudie

Bessere Diagnose schwerer Traumata

[13.04.2015] Oft sind es Autounfälle, bei denen der Kopf durch abruptes Bremsen verletzt wird: Schädel-Hirn-Traumata – medizinisch: axonale Scherverletzungen – erleiden rund 270.000 Menschen pro Jahr. Bei etwa einem Drittel dieser Hochrasanz-Traumen lassen sich die schweren Hirnverletzungen jedoch bislang nicht nachweisen. Wissenschaftler der Medizinischen Fakultät der Universität Duisburg-Essen (UDE) am Universitätsklinikum Essen (UK Essen) haben nun erstmals den diagnostischen Einsatz eines 7 Tesla Magnetresonanztomographen (MRT) untersucht. Sie berichten davon im Fachmagazin Plos One.

Die Kosten für das deutsche Gesundheitssystem zur Versorgung Schädel-Hirn-Verletzter werden auf 2,5 Milliarden Euro jährlich geschätzt. Ausgelöst wird ein solches Trauma zum Beispiel durch Verkehrsunfälle, Stürze aus großer Höhe oder Sportverletzungen. Die rasche Be- und Entschleunigung des Hirngewebes lässt Nervenfasern zerreißen und löst Mikroblutungen aus. Anschließend leiden die Patienten unter verschiedenen Symptomen, angefangen bei leichten Gedächtnisstörungen, bis hin zu posttraumatischer Demenz.

Allerdings können nur 72 Prozent dieser schwerwiegenden Kopfverletzungen zweifelsfrei diagnostiziert werden. Bei etwa einem Drittel der Patienten lässt sich keine strukturelle Hirnschädigung nachweisen, obwohl sie unter neurologischen und neuropsychologischen Beeinträchtigungen leiden. Dabei ist die Diagnose für die Rehabilitation, die berufliche Reintegration sowie in versicherungsrechtlichen Fragen entscheidend.

„Bei Verdacht auf ein Schädel-Hirn-Trauma setzt man u.a. auf radiologische Untersuchungen, in der Regel auf die Magnetresonanztomographie“, erläutert Prof. Dr. Michael Forsting, Direktor des Institutes für Diagnostische und Interventionelle Radiologie und Neuroradiologie am UK Essen. Ein neuer Ansatz gibt nun Hoffnung auf Klarheit. In einer Pilot-Studie am UK Essen konnten die Wissenschaftler der Medizinischen Fakultät die Identifikation der traumatischen Mikroblutungen im Gehirn entscheidend verbessern. Sie verglichen dabei die Bilder der üblichen 3 Tesla Hochfeld-MRT mit der mehr als doppelt so starken 7 Tesla Ultrahochfeld-MRT.

Untersucht wurden zehn Probanden mit bekannten Scherverletzungen im Alter von 20 bis 74 Jahren. Die 7 T MRT stellte bei den Betroffenen signifikant mehr traumatische Mikroblutungen in der Hirnsubstanz dar als vergleichbare 3 Tesla-Aufnahmen. Dies führen die Forscher darauf zurück, dass der sogenannte Suszeptibilitätseffekt der Blutabbauprodukte, also ihre Magnetisierbarkeit, mit steigender Magnetfeldstärke zunimmt. Zudem erlaubt die 7 T MRT Aufnahmen des Gehirns in höherer räumlicher Auflösung als es mit klinisch gebräuchlichen MRT-Scannern von 1,5 T und 3 T Magnetfeldstärke möglich ist.

Bisher wird der 7 Tesla MRT nur für Forschungszwecke am Erwin L. Hahn Institut für Magnetresonanz (ELH) genutzt. In weiteren Studien soll nun geklärt werden, ob sich dieser nicht auch bei unklaren Fällen von Schädel-Hirn-Traumata einsetzen lässt.

Publikationshinweis: „Diffuse Axonal Injury at Ultra-High Field MRI“ http://journals.plos.org/plosone/article?id=10.1371/journal.pone.0122329

Weitere Informationen:
Christine Harrell, Tel. 0201/723-1615, christine.harrell@uk-essen.de


Bildhinweis:
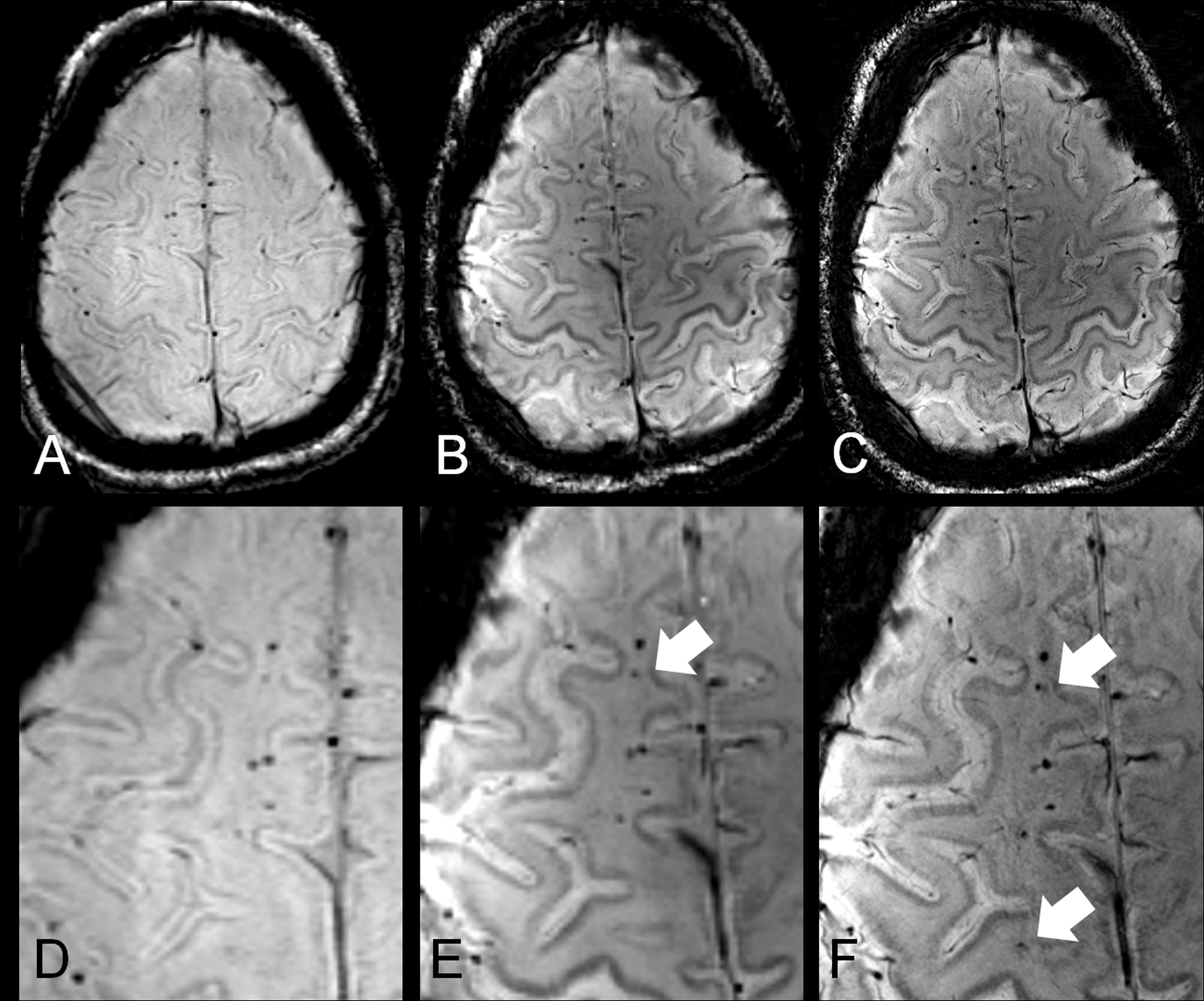
Ein Foto zu dieser Pressemitteilung (Bildbeschreibung: MRT-Aufnahmen der Scherverletzungen (Fotonachweis: UDE) Als typisches radiologisches Kennzeichen für axonale Scherverletzungen sind die Mikroblutungen als kettenartig angeordnete Signalauslöschungen im frontalen Hirngewebe erkennbar. Sie erscheinen bei 7 T (mittleres Bild) größer als bei 3 T (linkes Bild) und nach Erhöhung der räumlichen Auflösung (high resolution) werden bei 7 T zusätzliche Mikroblutungen sichtbar (rechtes Bild, Pfeile).) können Sie herunterladen unter:
"https://www.uni-due.de/imperia/md/images/samples/gehirn-mrt-bilder.jpg"

Alle Pressemitteilungen der UDE finden Sie unter:
http://www.uni-due.de/de/presse/pm.php